请输入关键字
新闻中心
医院动态
医院公告
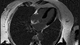
 您是否曾因不明原因的心悸、胸闷、气短而担忧?面对复杂的心肌病变、心肌梗死后的评估,是否渴望一份更精准、更直观的“心脏报告”?  现在,北京大望路急诊抢救医院(原北京朝阳急诊抢救中心)为您带来了心脏疾病诊断的“金标准”之——心脏核磁增强(CMR)检查,并已成功完成30余例临床应用,技术成熟,效果显著!                                                                                               技术升级,时间更短,耐受更好  传统心脏核磁检查时间长是困扰患者的一大难题。心脏核磁增强技术的开展极大地解决了扫描时间长、患者不好耐受的问题。  我院医护人员通过对打药前后心脏电影序列的对比研究,发现打药后扫描心脏电影序列能够取得与打药前相同的效果。  借助这一发现,科室对检查流程进行了优化:由于心肌需要进行延迟强化,在等待的这段时间里扫描电影序列,不仅充分利用了等待时间,还显著缩短了患者的整体检查时间。原本需要40分钟的检查,现在缩短到了30分钟左右,大幅提升了患者的检查体验。     适用于哪些情况?  心脏核磁增强技术以其无创、无辐射、软组织分辨率极高的优势,能提供心脏全方位的精细影像:  1.精准评估心脏结构与功能:清晰显示心脏大小、室壁厚度、心室腔容积,精确计算心脏射血分数(EF值)等关键功能指标。  2.明辨心肌病变性质: 是诊断心肌炎、扩张型心肌病、肥厚型心肌病?等非缺血性心肌病的利器,帮助区分病因,指导治疗。  3.评估心肌活力与梗死范围: 对于心肌梗死患者,能清晰地显示坏死心肌(延迟强化区域)、冬眠心肌及健康心肌的范围和程度,是判断预后、制定治疗方案(如血运重建必要性)的关键依据。  4.发现占位与血栓:有效识别心脏肿瘤、心腔内血栓等病变。     检查前温馨小贴士  为了确保您获得最清晰、最准确的检查结果,请您在检查前注意:  心率要求:检查时心率最好控制在75次/分钟以下。  心律要求:心律需相对整齐。如有严重心律失常,可能会影响图像质量和检查效果,请提前与医生沟通。     守护心脏健康,我们更专业!  自去年开展以来,我院心脏核磁增强项目已累计为30余例患者提供了高质量的检查服务,覆盖了多种常见及复杂心脏疾病,积累了丰富的本地化操作和诊断经验,为临床医生提供了强有力的影像学支持,显著提升了对心肌疾病的精准评估能力。  北京大望路急诊抢救医学影像科,依托先进的设备、优化的流程和专业的团队,致力于为您提供更快捷、更舒适、更精准的心脏核磁增强检查服务。让高清影像照亮“心”世界,为您的健康心脏保驾护航!     医学影像科简介     北京大望路急诊抢救医院(原北京朝阳急诊抢救中心)医学影像科分设于南、北两个院区,集X线、CT、骨密度仪、磁共振成像为一体的综合性科 室,拥有全自动固定DR三台,移动DR三台,64排CT一台,16排CT两台,40排CT一台。1.5T、 3.0T核磁各一台。骨密度仪一台。可以满足各种临床诊治需求,开展神经系统、头颈部、呼吸系统、循环系统、消化系统、泌尿生殖系统、骨骼肌肉系统等全身各系统综合性影像检查和诊断。科室人员经验丰富,梯队合理,现有专业技术人员29人,其中高级职称3人(主任医师兼主管技师一人)。 学科带头人  白志勇,放射科主任,主任医师兼主管技师,从事影像技术及诊断工作27年,熟练掌握常见病、多发病的影像诊断,对疑难病例有自己独特的见解,擅长各部位血管CTA的临床实践、影像后处理及诊断。原三甲医院CT/MRI室副主任。在《中国CT/MRI杂志》《实用放射学杂志》《内蒙古医学杂志》《河北医学杂志》等国家级、省级医学杂志发表论文10余篇。获得赤峰市政府“二等功”,红山区政府“三等功”奖励;内蒙古民族大学赤峰临床医院(赤峰市第二医院)教学能手“三等奖”;红山区卫生系统“先进个人”等奖励。北京医学会放射技术分会第九届CT学组委员、北京神经内科学会神经疾病预防与脑健康专业分会第一届委员。 检查项目  全身各部位CT血管成像(冠状动脉CTA、肺动脉CTA、胸腹主动脉CTA、头颈动脉CTA、下肢动 静脉成像等)、CT各部位平扫及增强扫描、CT支气管树重建、CT立体三维(3D)重建成像技术、CT早 期肺癌筛查技术、CT定位下穿刺活检技术、CT引导下的射频消融;MRI各部位平扫及增强扫描、 MRI功能成像、MRI水成像、MRI弥散成像、MRI扩散张量成像、MRI磁敏感加权成像、MRI波谱成像、 核磁高分辨率血管壁成像,心脏核磁增强成像等。  如有相关检查需求或疑问,欢迎咨询我院医学影像科。咨询电话:010-59298942;1800138****。     心血管内科简介  心血管内科为我院的特色科室之一,科室本着“以患者需求为中心”的原则,倡导人性化服务、个性化服务,让患者安心、舒心、放心。科室开展经皮冠状动脉造影术、冠状动脉内球囊扩张术、冠状动脉内支架植入术、冠状动脉内血栓抽吸术、冠状动脉血管内超声检查、主动脉球囊反搏术;临时起搏器置入、人工永久起搏器植入术,心脏自动转复除颤器植入术(ICD)。床旁心包穿刺术及其他床旁有创操作。经静脉药物溶栓治疗心肌梗死、床旁电除颤转复房颤、室速;具备冠心病中心监护系统。针对心力衰竭及冠心病患者开展特色性的心脏康复治疗,制定个体化药物处方、运动处方及营养处方,进行双心治疗及睡眠管理、戒烟指导及危险因素管理等。   学科带头人  计晓玲,心血管内科主任,主任医师,硕士生导师,心内科常见病、多发病的诊治:如高血压病、高脂血症、冠心病、瓣膜病、心肌病、急性心梗、结构性心脏病、心力衰竭、心律失常等各种心脏重症;擅长心脏电生理:如冠脉内支架植入术、起搏器及ICD植入等。  出诊时间:周二8:00-11:30;周四8:00-11:30、13:30-17:00  出诊地点:北京大望路急诊抢救医院南区   如有相关检查需求或疑问,欢迎咨询我院心内科。咨询电话:010-59632377;1800138****。
2025.0818
 随着医疗技术的快速发展,精准医疗已成为临床诊疗的重要方向。为进一步提高医院检验服务能力,满足患者对个性化诊疗的需求,北京大望路急诊抢救医院(原北京朝阳急诊抢救中心)检验科开展两项新的检测技术—S100蛋白检测和血管内皮生长因子(VEGF)检测。  这两项技术的开展,为神经系统损伤疾病、肿瘤及心脑血管疾病的早期诊断、疗效评估和预后监测提供了重要依据,标志着我院检验服务能力再上新台阶。     新技术亮点:为临床诊疗注入新动力 1. S100蛋白检测——神经系统疾病的“预警哨兵”  S-100蛋白是神经胶质细胞的特异性标志物,其水平异常与脑损伤、阿尔茨海默病、脑卒中、黑色素瘤等疾病密切相关。此项检测技术的开展,可辅助医生快速评估患者脑损伤程度,为急性脑血管病、创伤性颅脑损伤及神经退行性疾病的诊断提供关键支持。 2. VEGF检测——肿瘤与血管疾病的“风向标”  血管内皮生长因子(VEGF),是调控血管生成的核心因子,在恶性肿瘤、糖尿病视网膜病变、冠心病等疾病中显著升高。检测VEGF水平有助于肿瘤患者的靶向治疗选择、疗效动态监测及抗血管生成药物应用指导,同时为心血管和眼科疾病的风险评估提供参考。       展望:为患者提供更优质的医疗服务  S100蛋白与VEGF检测项目的成功落地,是我院检验技术发展历程中的重要里程碑,也标志着我院在精准医学领域迈出了坚实的一步。这两项技术的应用,将有效助力神经系统疾病、肿瘤和心脑血管疾病的精准诊疗,为患者带来更科学、高效的个性化治疗服务。  未来,我院检验科将继续秉承“服务临床、造福患者”的核心理念,坚持围绕“精准检验”战略,积极探索更多先进检测技术的引入及应用场景的拓展,与临床科室携手,为患者提供更优质的医疗服务,为医院整体诊疗水平的提升贡献力量。  精准检验助力精准医疗,我们始终在路上!     检验科简介  检验科始终贯彻“以病人为中心、以质量为核心”的服务宗旨,准确及时、严谨认真、优质服务、持续改进、不断完善质量控制体系,确保检验结果的准确性、科学性。科室实行24小时服务,给临床和患者带来了极大的方便;定期与临床科室沟通,了解临床科室对检验科工作的意见及需求,不断提高临床满意度。科室设有生化室、免疫室、血液室、体液室、微生物实验室、核酸方舱实验室等。 科室特色  检验科开展了一些具有本地区特色的检验项目。包括:肿瘤标志物17 项、高血压五项、骨标志物五项、过敏原27项检测 、抗核抗体17项筛查、自身免疫性抗体、自身免疫性肝病7 项、白介素6、糖尿病病程检测、甲状腺功能7 项、呼吸道病原体9项检测、血栓4项等实验项目,为医院相关科室患者诊断及治疗提供了帮助。 检查项目 生化室主要开展肝功能、肾功能、心肌酶谱、心梗三项、炎症四项(pct、il-6、saa、crp)、血糖、血氨、血脂检测等项目检查。 免疫室主要开展病毒八项检测、肿瘤标志物、特种蛋白、自身抗体、激素、骨代谢、过敏原、胃幽门螺杆菌分型、结核菌感染检测、高血压五项、核酸抗体等多项目检查,能够及时提供临床正确诊疗依据。 血液室主要开展血常规、凝血6项、血型鉴定等项目检查。 体液室主要开展尿常规、便常规、脑脊液、关节液、分泌物常规检查。 微生物实验室主要开展普通细菌培养、真菌培养、厌氧菌培养、布氏杆菌检测、以及细菌鉴定、药敏等,能够为临床细菌用药和抗生素治疗提供依据。 核酸方舱实验室开展新型冠状病毒(SARS-CoV-2)核酸定性检测。 学科带头人  卢青虎,检验科主任,副主任检验师,从事检验工作近40年,具有丰富的理论基础知识,扎实基本操作功底。擅长临床检验、生化检验、免疫学和微生物的检验。  先后发表科研论文40 多篇。担任中国医学装备协会检验医学分会第二届实验室智能化装备学组委员等。   如有相关检查需求或疑问,欢迎咨询我院检验科。咨询电话:010-59632253;1330114****。
2025.0818
2025年8月1日至2日,由中华医学会北京分会秘书处、北京医学会骨科学分会主办的“2025年北京医学会骨科学分会学术年会暨第二十一届BOA大会”在北京隆重召开。大会汇聚国内外骨科领域众多专家学者,共同探讨学术前沿与技术创新。北京大望路急诊抢救医院(原北京朝阳急诊抢救中心)创伤骨科副主任杨建忠作为北京医学会骨科学分会感染学组委员应邀参会,并就骨科技术创新与临床实践进行了经验分享。 北京大望路急诊抢救医院 创伤骨科副主任杨建忠 在感染分会场上,杨建忠主任作了题为《Masquelet技术治疗胫骨骨髓炎骨缺损》的学术发言。杨主任结合自己多年来的临床经验和科研成果,详细介绍了Masquelet技术在骨科领域的应用现状与发展前景。他从胫骨骨髓炎骨缺损的病理特点出发,深入分析了传统治疗手段的局限性,以及Masquelet技术在多阶段治疗过程中展现出的显著优势。通过病例分享和数据展示,杨主任进一步说明了该技术在减少感染复发、防止骨不连和促进骨再生方面的疗效,赢得了与会专家的广泛关注与高度评价。 本次年会的成功举办为骨科医学的发展指明了方向,也为各医疗机构提供了难得的学术交流机会。我院将以此次大会为契机,继续加强与国内外骨科领域专家的合作,不断提升医疗技术水平,推动创新成果的转化应用,造福更多患者。未来,我院创伤骨科将继续秉持救死扶伤的初心,以更加扎实的临床实践和更加前沿的学术研究,为骨科医学事业的发展贡献力量。 杨建忠主任简介 杨建忠,创伤骨科副主任,副主任医师。原北京水利医院创伤骨科医疗组长、主任。国家卫生健康委员会全国骨科专业第三十九期学员(北京积水潭医院)。从事骨科临床工作三十年,具有扎实的专业理论知识、娴熟的手术技能及丰富的临床经验。北京医学会骨科学分会感染学组委员。 专业领域:擅长创伤骨科疾病诊断及治疗,尤其在脊柱骨折、脊髓损伤、四肢骨折、关节骨折与损伤及多发伤复合伤治疗方面具有丰富经验。在急慢性骨科感染、慢性骨髓炎、骨不连、肢体重建等方面,形成了系统的治疗理念和策略,取得了良好的临床效果和社会效益。   出诊时间:周二 上午 08:00-12:00  出诊地点:北京大望路急诊抢救医院南区综合楼门诊 创伤骨科咨询电话:010 5963 2192;1800138****。
2025.0811
近日,河北省邯郸市大名县人民医院成功救治两例重症热射病患者。在这两次危机救治之前,北京大望路急诊抢救医院(原北京朝阳急诊抢救中心)专家型副院长、重症医学中心宁波教授在此过程中通过专项培训和现场指导,为患者的成功救治提供了有力保障。 此次救治不仅为基层医院应对高温天气下的急危重症提供了成功经验,也体现了我院在热射病防治领域的专业技术支持和指导能力。 两例患者均为男性。第一例患者为22岁,由于长时间暴露在高温潮湿环境中,出现意识不清,入院时核心体温高达42.4℃。患者被确诊为热射病并发呼吸衰竭。大名县人民医院急诊科立即展开紧急救治,采取吸氧、快速补液、物理降温等措施,并迅速将患者转入重症监护病房(ICU)。在经过3小时的密切治疗后,患者体温降至38℃,生命体征逐渐趋于平稳。 另一名患者为33岁,因周身疼痛入院,被诊断为热射病合并急性肾功能不全。经过及时的综合治疗,患者最终痊愈出院。这些案例的成功救治,标志着大名县人民医院在重症急救方面取得了重要进步,同时也体现了我院对基层医疗机构的技术支持和培训效果。 宁波教授带队开展热射病防治专项培训,加强基层医疗应急能力 今年夏季的持续高温,使热射病成为当前公共卫生领域的一个重要挑战。从6月中旬开始,宁波教授作为中国志愿服务联合会卫生健康志愿服务工作委员会的志愿服务专家组的核心专家,跟随志愿服务组织在河北省邯郸市及周边地区的基层医院,开展了一系列热射病防治专项培训。 在此次培训中,宁波教授根据热射病的发病特点,围绕早期识别与诊断、治疗措施、紧急救治流程以及特殊病例的处理等进行了深入讲解,并结合临床案例分享了多年的救治经验。培训内容详实且实用性强,全面提升了基层医疗机构医务人员对热射病的应对能力。 此外,宁波教授还深入大名县人民医院,对重症科医务人员进行了现场指导,详细解答了救治过程中可能遇到的难点问题,并对医院的急救设备使用及救治流程进行了优化完善,为此次成功救治两例重症患者打下了坚实的基础。 推动优质医疗资源下沉,持续提升基层应急能力 宁波教授表示:作为中国志愿服务联合会卫生健康志愿服务工作委员会的核心专家,将持续参与更多类似的志愿服务活动,助力提升基层医疗机构应对突发公共卫生事件和急危重症的救治能力,为提高基层医疗水平贡献力量。 此次热射病救治与培训工作是我院落实优质医疗资源下沉的一次有力实践。未来,我院将继续秉承“医者仁心”的理念,积极参与各类社会公益医疗活动,为基层医疗机构提供更多支持,为守护百姓健康贡献更大力量。 生命无价,专业守护!让我们一起关注高温天气,共同做好热射病防治工作! 宁波教授简介 宁波,北京大望路急诊抢救医院专家型副院长,重症医学中心主任,主任医师,硕士研究生,原中国人民解放军空军总医院重症监护室主任。 擅长热射病防治及多器官功能衰竭治疗等疾病的诊治。在重大手术围手术期管理,感染性休克救治,多器官功能衰竭及热射病救治积累了丰富的经验。 发表学术论文60余篇,主编出版专业图书5部,获国家专利4项,荣立三等功2次。曾获优秀基层干部及军队科技进步三等奖、解放军总医院优秀教学奖等奖项,承担多项全军重大课题研究。 学术任职 中国医疗保健国际交流促进会常务理事及重症医学专业委员会第一届主任委员; 全军重症医学专业委员会副主任委员全军热射病防治专家组副组长; 北京医学会重症医学会委员北京医师协会重症医学会委员; 北京重症质控中心专家委员会委员; 北京体外生命支持质控中心委员会委员。 重症医学中心咨询电话:010 5963 2183;18001389959
2025.0811
  为深入贯彻爱国主义精神,深化党史学习教育,进一步凝聚全体职工的奋进力量,北京大望路急诊抢救医院(原北京朝阳急诊抢救中心)党总支于7月30日至31日精心组织了“弘扬爱国传统,凝聚奋进力量”爱国主义教育观影活动。我院200多名党员及群众共同观看了党史红色影片《南京照相馆》。在光影交错中,大家重温了那段峥嵘岁月,接受了深刻的爱国主义精神洗礼。 电影《南京照相馆》通过独特视角聚焦历史,以一家照相馆的兴衰变迁为线索,串联起波澜壮阔的革命历史,生动展现了在民族危急关头,无数仁人志士为国家和民族的未来,挺身而出、奋勇抗争的感人故事。 观影结束后,大家感慨万千,通过影片的观看,更加深刻地理解了“爱国”二字的深远意义,也更加清晰地认识到作为党员所肩负的责任与使命。大家表示,今后将以革命先辈为榜样,不忘初心、牢记使命,充分发挥党员的先锋模范作用,立足本职,以更加饱满的热情和务实的作风投入到医疗工作中,为守护人民群众的生命健康贡献力量。 此次爱国主义教育观影活动的成功开展,不仅让医院职工在光影中重温历史、汲取精神力量,更进一步凝聚了全体职工的向心力和战斗力,激发了大家的责任感和使命感。我院党总支将以此次活动为契机,持续开展丰富多样的爱国主义教育活动,将爱国情怀转化为推动医院发展和服务患者的实际行动,助力医院各项工作再上新台阶,为保障人民群众的健康福祉作出更大贡献。
2025.0801
1 5 6 7 8 9